See the Difference a Confident Smile Can Make

Our Before & After gallery showcases the real transformations our patients have experienced through personalized orthodontic care here with Dr. Gabriela Aragon. Every smile tells a unique story, from children gaining confidence as their teeth grow in straighter, to teens completing treatment before big milestones, to adults finally achieving the smile they’ve always wanted.

See these inspiring results to see how braces, Invisalign aligners, and advanced treatment options can create healthy, beautiful smiles that last a lifetime. If you’re ready to start your own transformation, we’re here to guide you every step of the way.

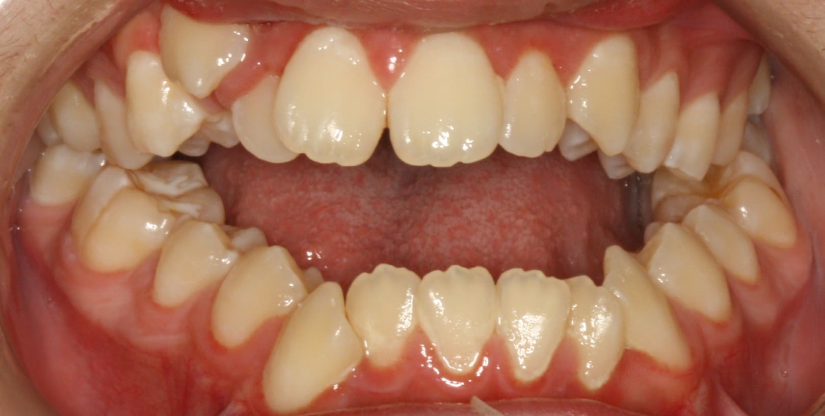
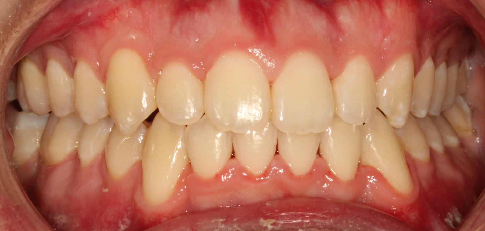
Teenage patient treated with fixed braces and orthognathic surgery 

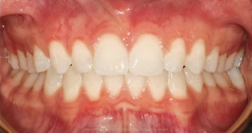
Adult patient treated with Invisalign aligners

Adult patient treated with Invisalign to close excess spacing and enhance esthetics 

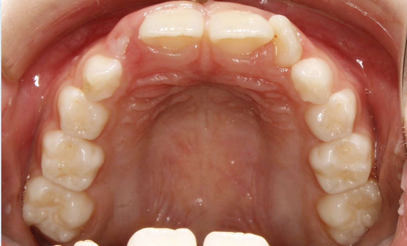
Phase I treatment with an Expander and Invisalign aligners 

teenage patient treated with an Expander, braces and MARA appliance to correct overbite and deep bite 

Teenage patient treated with an expander, braces and MARA appliance 

Phase I treatment with an Expander and Invisalign aligners to create space for permanent teethÂ